热闻|女子为减肥,狂吃美食后催吐,结果误吞18cm牙刷!医生提醒
热闻区 | 2025-02-27 20:39:54
来源:大众报业·齐鲁壹点
前一段时间,游客小李到成都旅游,每天几顿不重样的体验成都美食。
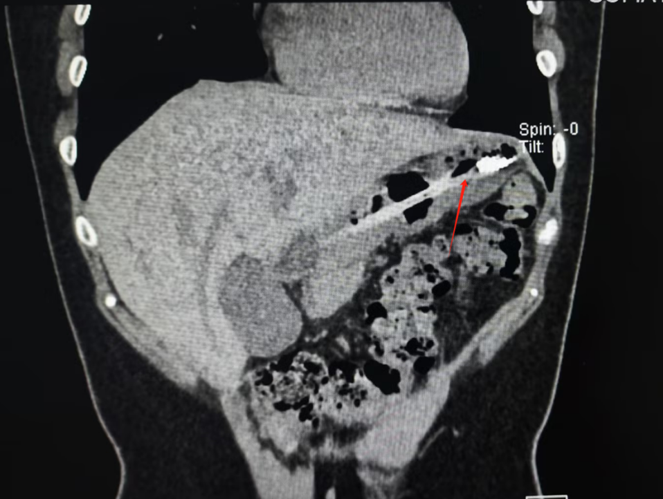
结果,因为反复的暴饮暴食,让小李感觉胃胀、胃痛、反酸、打嗝,出现了明显消化不良的表现,同时大量进食也让她产生了深深的身材焦虑。结果小李选择了催吐来缓解胃不适和长胖焦虑。为效果更好,该女子用一次性牙刷作为工具,结果手打滑,18cm长牙刷顺着咽喉直接滑了下去。 幸运的是,由于女子就医及时,在医生的帮助下牙刷顺利取出,并未对胃壁造成严重的损伤。
成都市中西医结合医院消化内科王晓翔医生表示,牙刷这种异物掉入胃中并不常见,而且牙刷的硬度和形状可能会对胃壁造成划伤、穿孔等损伤,还好患者来得及时,如果牙刷继续掉入肠道,还可能引起肠梗阻等严重后果。
图:胃中取出的牙刷
网友惊呆!


催吐的代价,到底有多沉重?
当下,有不少人受到网络上不良信息的影响,以瘦为美,为了减肥常错误、滥用催吐。
此前央视网还报道过,有人担心长胖,想尽各种方式把食物吐出来,竟然把半米长的聚氯乙烯软管(被称作“仙女管”、“兔兔管”)插进胃里。

卖家表示需要将催吐管插进胃里50cm,使食物顺着管子吐出来,平均1个月可瘦超过5公斤且使用无异物感,相对手动催吐无副作用,但当记者询问有无相关检验资质证明时,商家表示无法提供。
此前报道点击

事实上,催吐影响人体的身心健康危害极大。进食障碍诊治专家陈珏教授称,催吐行为对健康存在重大危害,会损伤食道、牙齿、腮腺、唾液腺、胰腺等部位,造成体内电解质紊乱、心率失常,出现抽搐、休克、癫痫发作等严重后果,甚至心脏骤停导致死亡。
另外,据复旦大学附属儿科医院心理科介绍,催吐严重者会引起心理扭曲,因为滥用催吐而患厌食症,丧失生活自理和工作能力。例如,美国模特Jeremy Gillitzer,因为职业要求不得不控制饮食,但是自己又压抑不了食欲,于是就选择了催吐的方式。渐渐,他的身体承受不了折腾,患上了厌食症,年仅38岁去世,当时体重只有39公斤。
错误减肥方法损害健康
据国际学术期刊《Diabetes,Obesity and Metabolism(IF:5.8)》于2023年发布的内容,按照超重和肥胖的BMI(体质指数)分类标准,我国1580万成年受试者中超重人群占比34.8%,肥胖人群占比14.1%。肥胖已经成为危害国人健康的重要疾病之一。
首都医科大学附属北京友谊医院减重与代谢外科主任医师、北京市减重与代谢外科质控中心主任张鹏表示,对于超重和肥胖的治疗,采取分层策略,如果仅是超重状态,并未达到肥胖症程度,多数人经过改变不良生活习惯、增加运动,可使体重降低甚至回归正常。但如果达到肥胖症程度,也就是超出标准体重达10公斤以上,就属于疾病,需要到医院接受医学治疗,由专业减重医生进行评估,并根据评估结果进行科学而安全的减重治疗。按照现代医学减重治疗理念,目前可以分为三种治疗手段:
一是营养治疗。在医生指导和监督下制定低热卡饮食方案,保证足够的蛋白质、不饱和脂肪酸、维生素、微量元素以及水分和膳食纤维。根据个人身体健康情况,在专科医生指导下,合理使用个性化的“16+8”限时饮食“5+2轻断食”“地中海饮食”“生酮饮食”等手段。因为每个人情况不同,照搬网络流传方案或者别人方案,不仅可能减重效果不好,还有可能引发营养不良、内分泌紊乱等一系列问题,损害身体健康。
二是药物治疗。其核心在于有效和安全,关键是规范使用国家药监局正式批准的药物。目前国家药监局正式批准用于减重的药物有奥利司他、利拉鲁肽3.0mg和贝那鲁肽,还有一些减重药物在临床试验阶段,尚未获得正式批准。这些药物一定要在减重专科医生指导下合理使用,网传的一些所谓“脂肪炸弹”“甲状腺素”等意图通过增加消耗来减肥的药物风险很大,一定不能盲目尝试。
三是手术治疗。一般针对中、重度肥胖症患者,尤其已经因肥胖而导致其他疾病的患者,会建议手术治疗。目前减重效果可靠、安全性有保障、在全世界范围内施行最多的手术方式有胃袖状切除术和胃旁路术。目前这类手术都是微创手术,仅在腹部做3到5个直径0.5—1厘米的小孔,就可完成手术,所以又称为“钥匙孔手术”。同时告诫大家,不要盲目追求“孔”少,而更应注重腹腔内手术的精确操作。这么小的孔,对于绝大多数人并不会留下明显手术疤痕。
小贴士
大家可以利用BMI指数公式计算一下自己的体重是否在合理范围内:BMI=体重(公斤)/身高(米)的平方。
BMI合理范围为18.5-24。低于18.5 为体重过轻,高于24为超重,高于28为肥胖,都需引起注意。
爱美之心人皆有之,但必须要有个度。
过度追求瘦身,得不偿失!
(齐鲁晚报·齐鲁壹点编辑 袁野 综合新闻晨报、光明网、新民晚报、上海嘉定、环球网、国是直通车、澎湃新闻等)
责任编辑:袁野
