《美国国家科学院院刊》发表山东省立医院党宁宁团队重要研究成果
来源:大众报业·齐鲁壹点
2025-04-28 14:44:10
近期,山东第一医科大学附属省立医院(山东省立医院)党宁宁团队在国际高水平顶刊《美国国家科学院院刊》(PNAS,中科院1区TOP期刊)上,发表题为“Neddylation modification stabilizes LC3B by antagonizing its ubiquitin-mediated degradation and promoting autophagy in skin”的研究论著。该研究在国际上首次揭示自噬关键蛋白LC3B存在一种新的翻译后修饰-Neddylation修饰,由E2结合酶UBE2M介导。研究表明,UBE2M介导的LC3B Neddylation修饰有望成为对抗皮肤衰老及相关疾病的潜在靶点,为衰老机制的研究及相关干预提供了新思路。省立医院为论著的第一及通讯作者单位,山东大学博士研究生徐琳琳为第一作者,山东第一医科大学临床与基础医学院黄淑红为共同通讯作者,省立医院皮肤科党宁宁为通讯作者。


皮肤衰老是一种由内外因素协同作用引发的生物学过程,表现为皮肤组织学结构改变、生理功能衰退及特征性外观变化。尽管目前对皮肤衰老的分子调控网络尚未完全解析,但已有研究表明衰老与自噬功能紊乱相关。新近研究揭示拟素化(Neddylation)修饰与部分衰老相关疾病有关,对自噬活动也具有调控作用,但具体机制尚不明确。
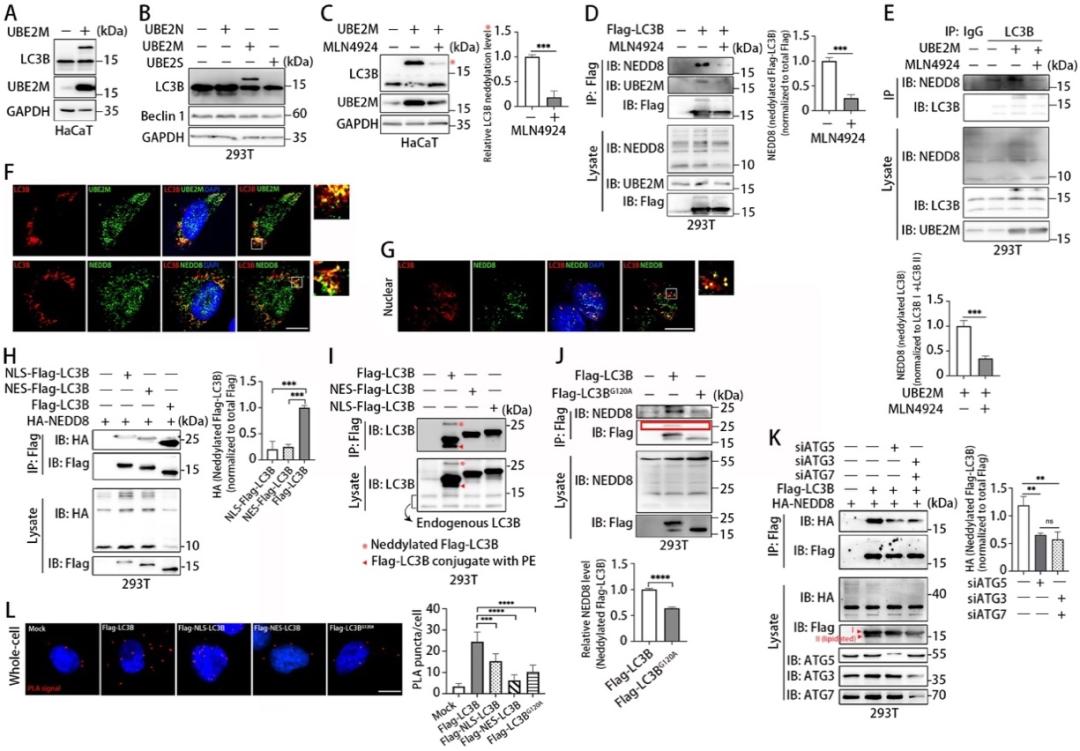
在本研究中,作者发现衰老小鼠皮肤中自噬相关蛋白LC3B表达异常,同时Neddylation修饰的E2酶UBE2M蛋白水平降低。Ube2m基因敲除小鼠皮肤具有明显的衰老表型,并伴有自噬功能紊乱。进一步研究发现,LC3B可在UBE2M的作用下发生Neddylation修饰,CUL2-RBX1和CUL4B-RBX1是催化该修饰的E3连接酶。LC3B的K42位点被确定为其主要的Neddylation修饰位点,且LC3B正常的核质穿梭与脂化是其发生Neddylation修饰的前提条件。机制研究显示,LC3B的Neddylation修饰能够拮抗其泛素化修饰,抑制其泛素-蛋白酶体降解,从而稳定细胞自噬功能。最后研究发现,在小鼠皮肤和人角质形成细胞中敲低UBE2M所引起的衰老表型,可通过回补LC3B得到明显缓解。

综上所述,本研究揭示了LC3B是Neddylation修饰的新型底物蛋白,并阐明该修饰在维持LC3B稳定性和调控衰老相关自噬功能中的关键作用,为衰老机制的研究及相关干预提供了新思路。该项研究得到国家自然科学基金和山东省自然科学基金的资助。
《美国国家科学院院刊》(PNAS)是美国国家科学院(NAS)主办的综合性学术期刊,创刊于1914年,以周刊形式发行,涵盖多学科领域的研究成果,是全球科研领域最具影响力的期刊之一,也是全球被引用次数最多的综合类期刊之一。期刊内容覆盖生物学、物理学、化学、地球科学及社会科学等多个学科,为跨学科研究提供了重要平台。
论文链接:
www.pnas.org/doi/10.1073/pnas.2411429122
责任编辑:秦聪聪
