国内首例!山一大一附院为1例重型血友病A患者实施甲状腺癌微波消融术
医声 | 2025-07-13 14:06:56原创
黄鑫 来源:大众新闻客户端
近日,山东第一医科大学第一附属医院(省千佛山医院)肿瘤微创科主任医师叶欣团队成功开展国内首例重型血友病合并甲状腺癌患者的微波消融术,手术过程顺利,术后1月复查达到完全消融。

据了解,患者为33岁男性,发现甲状腺结节半年余。血友病A病史27年。间断应用凝血因子VIII治疗。甲状腺超声示甲状腺左侧叶近峡部低回声结节,大小6.6*6.6*6.2mm,TI-RADS分级4b,高度可疑甲状腺癌。术前活化部分凝血活酶时间:86.60秒,凝血因子活度(FVIII)仅0.8%,属于重型血友病,出血风险极高。综合考虑后患者拒绝外科手术选择进行微波消融治疗。
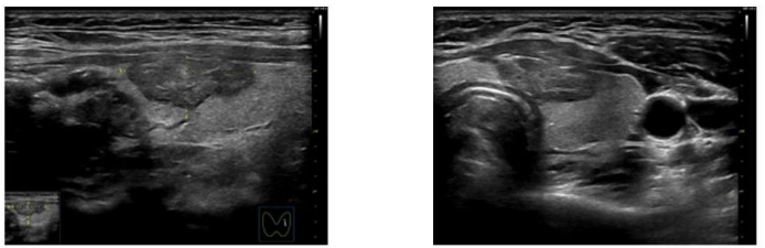
甲状腺左侧叶近峡部结节
为保障患者手术顺利开展,科室请血液科协助制定了围手术期VIII因子的替代治疗方案,经全科病例讨论制定了周密的手术方案。患者经积极治疗后凝血功能、凝血因子活度符合手术要求,首先为患者进行了甲状腺细针穿刺活检,病理确定为甲状腺乳头状癌,临床分期为cT1aN0M0 I期。
甲状腺细针穿刺活检
随后,在叶欣的指导下,副主任医师陈守华及主任医师王爱光为患者实施了甲状腺癌微波消融术,手术仅耗时15分钟,术中及术后无出血,通过精心的治疗与护理,患者术后3天康复出院。术后1月复查甲状腺超声造影提示病灶完全消融,且甲功五项指标正常,患者及家属对于治疗效果非常满意。
甲状腺左侧叶结节消融术后所见
超声造影术前
超声造影术后复查
叶欣表示,微波消融技术作为肿瘤局部治疗的重要组成部分,具有微创、精准、安全性高、最大程度保留器官功能等显著优势,在肺、肝及甲状腺等多种实体肿瘤中广泛应用,未来科室将在人工智能、精准适形消融等方面不断开拓创新,更好造福于广大人民群众。
(大众新闻记者 黄鑫)
责任编辑:张西可
大众新闻原创内容,未经授权不得转载
转载事宜请联系大众新媒体大平台 联系电话:0531-85193469
