山一大二附院硬膜外血贴治疗难治性低颅压头痛
行业观潮 | 2024-01-17 10:13:21
来源:大众新闻客户端
▢和树芸
不久前,65岁的丁阿姨出现了顽固性头痛,伴有强烈的恶心呕吐,奇怪的是她的头痛站着剧烈,躺下立马好转。到当地医院就诊,颅脑CT显示双侧慢性硬膜下血肿。她每天打针吃药,但是经治疗仍不见好转,头痛加重,无法下地活动。
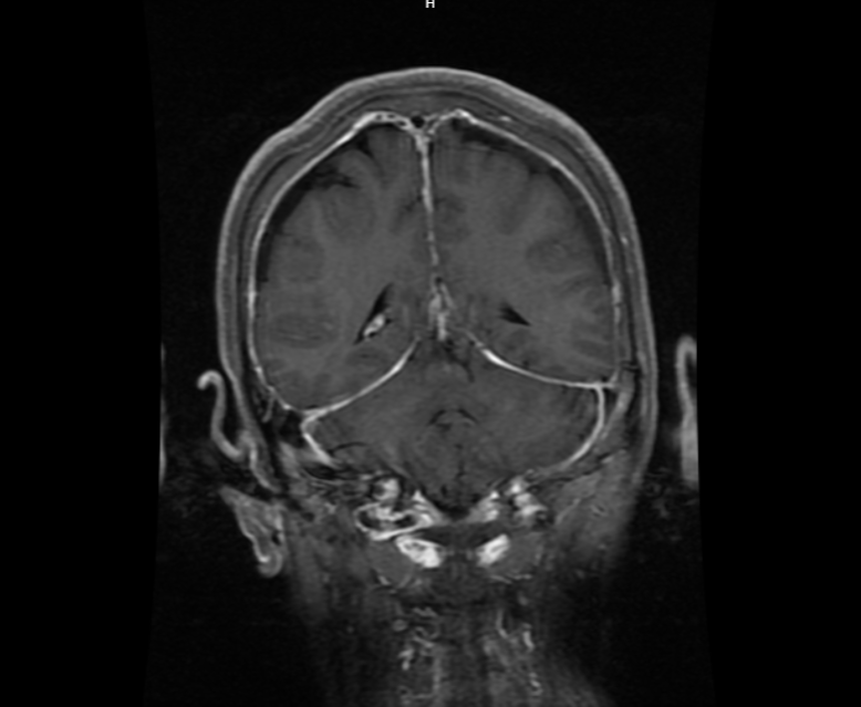
2023年12月28日,患者来到山东第一医科大学第二附属医院就诊,神经外科主任医师谢方民团队接诊,针对患者头痛的特点,进行了进一步检查。患者脑部磁共振显示明显脑组织下沉表现,并出现双侧硬膜下血肿,怀疑有脑脊液漏。为进一步确定漏口,随后进行了脊髓磁共振水成像序列查找,发现了疾病的病因——脑脊液在胸椎有多处渗漏。因脑脊液漏而导致颅内低压,这就是导致患者站立时头痛、躺平好转的原因!

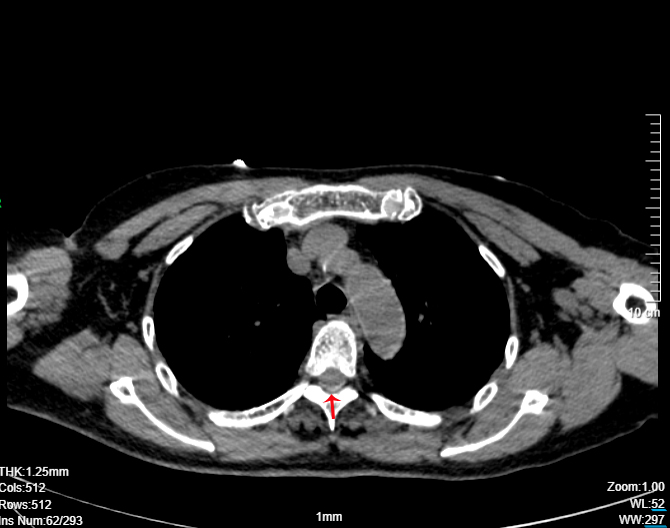
谢方民联合麻醉科主任医师张文生、副主任医师李波和影像科主任医师秦健、闫呈新、王峰进行多学科讨论后,为丁阿姨制定了治疗方案——患者被诊断为自发性脑脊液漏,低颅压成立,决定给予硬膜外血贴疗法。经过充分术前准备,治疗团队根据脑脊液漏点进行术中彩超和C—型臂联合精准定位后,抽取患者自体静脉血15ml,缓慢注入胸椎脑脊液漏点附近,术中给患者打了一个安全贴心的“血补丁”。目前患者经过两周卧床休养,已经开始下地行走,症状明显好转,在进一步的康复中。

颅脑MRI显示广泛硬膜强化,提示自发性脑脊液漏合并低颅压

脊髓磁共振定位漏点范围

术后复查:血贴的位置(红剑头),血贴覆盖4个椎体(T3-6)
谢方民指出,低颅压综合征是各种原因引起的颅内压低于正常值的一组综合征,分为原发性低颅压综合征和继发性低颅压综合征。原因未明者称原发性低颅压综合征,倾向于脑膜薄弱的患者发生自发性脑脊液漏所致,女性多于男性,发病高峰期在40岁左右。有先天的硬脊膜外囊肿、结缔组织病或关节过度活动史,在出现小的创伤,比如摔倒、突然弯曲或伸展(练习瑜伽)、打喷嚏、体育活动等,都可以造成囊肿破裂或硬脊膜神经鞘撕裂,出现脑脊液漏。另外,脊椎椎间盘退行性疾病、骨刺和微刺也可能导致硬脊膜撕裂,出现脑脊液漏,引发低颅压综合征。
原发性低颅压综合征常表现为体位性头痛,即躺下就缓解或消失,坐起或站立时头痛。有时伴有头晕、恶心、呕吐、听觉过敏、听力减退、耳鸣或视野缺损、复视、一过性黑朦、眼球震颤等症状。
硬膜外血贴治疗是目前精准有效的治疗措施之一,是目前国际上最推荐的治疗手段。通常在保守治疗2周无效、有重度头痛或有其他失能症状时采取的一项治疗。它通过自体血输注硬膜外隙修补漏口,起到有效治疗疾病的效果。
谢方民提醒,低颅压综合征比较少见,不容易早期发现、早期诊断。如果有头痛,坐起或站立时加重,平躺缓解,或已明确脑脊液漏,一定要到专业的神经外科就诊,积极对症治疗,早日恢复健康。
责任编辑:张晓茜
